
发表文章:Cupule-bearing cones of Jarudia (Doyleales) and associated leaves from theEarly Cretaceous of the New Siberian Islands, Arctic Russia
发表期刊:Review of Palaeobotany and Palynology
原文链接:https://doi.org/10.1016/j.revpalbo.2025.105451
使用仪器型号:Neoscan N80 高分辨显微CT
01 摘要
在俄罗斯新西伯利亚群岛科捷利内岛下白垩统(Aptian–Albian)巴雷克塔赫组地层中,研究人员发现并描述了一种隶属于多伊尔目(Doyleales)的杯状种子锥植物新种——Jarudia borealis。该植物的种子锥呈细长圆柱形,主轴上密集排列着螺旋状的杯状结构,是早期种子植物中具有代表性的生殖器官类型。研究结合形态学分析与 Neoscan N80 显微CT无损三维成像手段,对其杯状结构组成及微观特征进行了系统研究,为理解早白垩世种子植物的形态多样性及演化关系提供了新的证据。
02 研究背景
在早期种子植物的演化研究中,生殖器官的结构特征往往比营养器官更具系统学意义。多伊尔目植物(Doyleales)正是一类因其独特的生殖结构而受到持续关注的已灭绝类群。其中,包裹种子的杯状结构被认为在形态和功能上具有特殊地位,其构成方式和发育模式被广泛用于讨论裸子植物向被子植物过渡过程中生殖器官复杂化的可能路径。
Jarudia 属的提出,为这一讨论提供了关键实例。此前报道的 Jarudia zhoui 保存于低纬度地区的早白垩世地层,其杯状结构的组成及排列方式已显示出高度特化特征。然而,受限于材料数量和保存状态,对该属形态变异范围及其生态适应能力的认识仍然有限。来自北极高纬度地区的新材料,为评估这一类群在不同古环境条件下的形态稳定性与适应策略提供了难得的对照样本。
03 研究方法
研究材料采集自科捷利内岛巴雷克塔赫组沉积层,该地层形成于早白垩世时期的河流—湖泊环境。样品包括部分保存的种子锥、分离的杯状结构以及大量线形叶片化石,后者被建立为新种 Phoenicopsis arcticus,作为可能的伴生营养器官类型。

显示俄罗斯新西伯利亚群岛科捷利内岛巴雷克塔赫河(Balyktakh River)化石产地位置的地图。
在研究方法上,作者以传统形态学观察为基础,对种子锥及其组成单元的外部形态进行了系统描述。针对部分被岩石完全包裹、外部无法直接观察内部结构的标本,研究中引入了 Neoscan N80 X 射线显微CT断层扫描,以获取其内部构造信息并进行虚拟切片分析。这一无损手段使研究者能够在保持标本完整性的前提下,确认种子锥的存在形式及其内部空间关系。

此外,作者还结合了化学离析技术,对杯状结构内部的残留碳质物进行处理,并借助光学显微镜、扫描电镜和激光共聚焦显微镜,对表皮细胞形态及大孢子膜的超微结构进行了补充观察,从而形成多尺度的形态学证据链。
04 研究结果
种子锥的整体形态与生殖单元排列
研究结果显示,Jarudia borealis 的种子锥为细长的圆柱形结构,由一条发育良好的主轴构成,其上密集排列着数量众多的侧生生殖单元。各生殖单元沿主轴呈明显的螺旋状分布,单元之间间距较小,使整个种子锥在外观上呈现出紧凑而规则的结构特征。这种高度有序的排列方式,反映出该类植物在生殖器官形态和组织方式上的高度稳定性。
从整体比例来看,Jarudia borealis 的种子锥较此前报道的 Jarudia zhoui 略显细长,其生殖单元在单位轴长上的分布密度也存在差异,但二者在基本构型和排列方式上保持高度一致。这种“总体一致、细节分化”的特征组合,为该新材料在属级水平上的归属提供了可靠依据,同时也显示出 Jarudia 属内部一定程度的形态多样性。

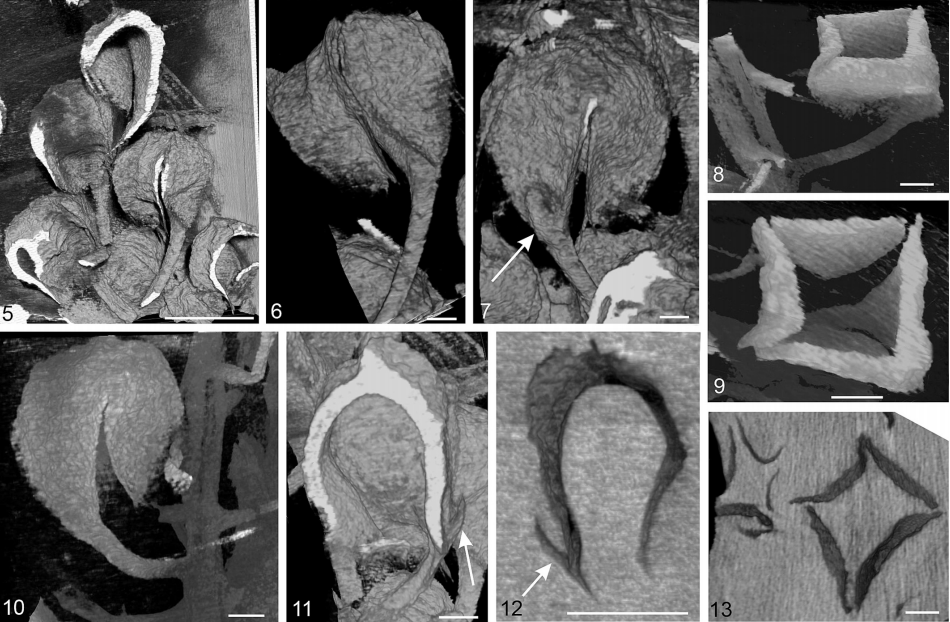
Jarudia borealis 的杯状种子锥整体形态。种子锥呈细长圆柱形,由主轴构成,其上密集排列着侧生的苞片–杯柄复合轴,每个复合轴顶端均发育一个向内弯曲的杯状结构。部分标本中可清晰观察到主轴与侧生生殖单元的附着关系,以及主轴内部的组织分化特征。部分种子锥与大量线形叶片化石伴生,显示其在早白垩世植物群落中的共存关系。

显微 CT 扫描显示,Jarudia borealis 的种子锥为细长圆柱形结构,主轴上密集排列着大量细长的侧生苞片–杯柄复合轴,每个复合轴末端均发育一个向内弯曲的杯状结构。三维重建结果清晰呈现了这些杯状结构在空间中的螺旋状排列方式,以及它们与主轴之间的空间关系。这种整体结构在传统表面观察中难以完整识别,而显微 CT 为无损揭示其内部空间组织提供了关键手段。
杯状结构的组成及其空间构型特征
每一个侧生生殖单元均由一条细长的杯柄及其远端发育的杯状结构组成。杯柄在近基部与狭长的苞片相互融合,形成苞片–杯柄复合轴;向远端发展时逐渐与苞片分离,并发生明显的向内侧弯曲,使杯状结构在空间上朝向主轴内侧。这种结构关系在 Jarudia 属中具有稳定性,也是识别该类群的重要形态标志之一。
杯状结构本身由杯柄远端扩展形成的扁平部分、一个中部瓣片以及两个侧瓣共同构成。三者在杯体顶端相互融合,而在靠近基部的位置保持游离,从而形成一个向内开口的包裹空间。在横截面中,杯状结构呈近似四边形,显示出相对固定的几何轮廓。这种由多个瓣片共同构成的复杂结构,使 Jarudia borealis 的杯状结构明显区别于形态较为简单的包裹类型,也提示其在生殖功能上的特化程度。

显微 CT 的三维重建结果显示,每个杯状结构由细长的杯柄和位于顶端的杯体共同构成。杯体由扩展的杯柄以及三个杯状结构瓣片组成,整体呈明显向内弯曲的形态。杯状结构瓣片在靠近基部时相互分离,而在顶端区域发生融合,形成封闭程度较高的结构特征。部分杯状结构顶端还可见明显的突起,这些细节在三维 CT 数据中得以清晰呈现。
图 4

Jarudia borealis 杯状结构的显微 CT 半透成像。显微 CT 半透成像展示了 Jarudia borealis 杯状结构的三维形态及内部构造。纵向切面可见细长的杯柄、苞片游离且尖锐的顶端,以及杯体顶端短小的突起结构。三维重建结果显示,杯柄横截面呈菱形,并向远端扩展形成由一个中部瓣片和两个侧瓣组成的向内弯曲杯状结构,同时可区分杯体的内、外角质层。
图 5
杯状结构内部特征与生殖组织保存情况
对部分被岩石包裹的标本进行内部观察后发现,多数杯状结构内部未保存完整的种子体,整体呈现为空腔状态。然而,在个别杯状结构内部仍可见少量碳质残留物,表明这些杯体在形成时曾包裹生殖组织。
通过对这些残留物的进一步处理,研究人员获得了杯状结构角质层碎片,以及可能来源于珠心组织的角质层残片。此外,还识别出保存较好的大孢子膜碎片,其结构由明显的基底层以及由分枝、相互连接的杆状结构组成的上层构成。尽管未能获得完整种子体,这些内部结构证据仍为推测 Jarudia borealis 的生殖单元类型提供了关键线索,也弥补了仅依赖外部形态所存在的局限。

两类新化石植物(Phoenicopsis arcticus 与 Jarudia borealis)的宏观叶片形态和表皮特征:大片平行脉叶碎片中偶见 Pityophyllum 与 Ginkgoites 残片,指示原地或近源混合堆积;图 2 首次出现带杯球的生殖枝,证实 Phoenicopsis 的繁殖器官;图 6-8 的放大图显示叶片脉间带与气孔带交替排列的微观结构,支持其适应高纬度湿润环境的生态特征。整体反映阿普特–阿尔比期北极群岛的温带针阔混交林植被面貌。

俄罗斯北极新西伯利亚群岛科特利内岛阿普特–阿尔比阶 Balyktakh 组杯瓣角质层碎片光学显微图。碎片上分布着多种气孔类型——副卫细胞数量5–8个不等,有的具乳突并覆盖气孔坑,有的缺乳突;保卫细胞常见长极附属物,偶见败育气孔。表皮细胞边缘常伴乳突或毛状体,整体显示该化石植物气孔结构高度分化,可能适应高纬度湿润生境。
表皮特征与伴生植物反映的生态背景
在微观层面,Jarudia borealis 的杯柄及杯状结构外表皮发育有乳突状突起和毛状体,其分布方式和形态特征在不同结构部位之间表现出一定差异。杯状结构外表皮中偶见气孔,其类型为单气孔型(haplocheilic),由 5–8 个副卫细胞围绕组成。这些表皮学特征不仅为新种的确立提供了支持,也为其在系统学上的归属提供了补充证据。

Jarudia borealis 杯状结构的角质层与表皮特征。苞片–杯柄复合轴的角质层显示出明显的中央区域与侧翼结构差异,分别对应杯柄与附着的苞片。杯状结构外表皮中偶见单气孔型气孔,其周围由多个副卫细胞围绕组成。角质层在向轴面与背轴面之间表现出明显差异,为该物种在表皮结构层面的系统学特征提供了补充证据。

产自俄罗斯北极新西伯利亚群岛科特利内岛阿普特–阿尔比阶Balyktakh组。图1–6为杯瓣表皮气孔的激光共聚焦显微图;图7、9–12为扫描电镜图,图8为光学显微图。
在生态背景方面,Jarudia borealis 的杯状种子锥常与大量线形叶片化石紧密伴生,这些叶片被描述为 Phoenicopsis arcticus 新种。此外,材料中还零星发现了 Pityophyllum 和 Ginkgoites 等属的叶片碎片。这一伴生组合表明,在早白垩世时期的高纬度地区,可能发育有由多类裸子植物共同组成的植物群落,而 Jarudia borealis 是其中的重要组成成员之一。
05 结论
arudia borealis 的发现显著拓展了 Jarudia 属的地理分布范围,表明这一类具有复杂生殖结构的种子植物在早白垩世时期已能够适应高纬度地区的生态环境。在当时全球气候整体偏暖的背景下,这一类群可能具备较强的环境适应能力和形态稳定性。
从演化角度来看,该物种在杯状结构构成和生殖单元排列方式上的稳定特征,进一步支持了多伊尔目植物在早期种子植物演化中的独特地位。通过将宏观形态特征与微观结构证据相结合,本研究为理解杯状结构的功能意义及其潜在演化来源提供了更加完整的形态学基础。
总体而言,本研究不仅丰富了早白垩世极地植物群落的组成信息,也展示了在尊重化石原始保存状态的前提下,对生殖器官内部结构进行补充观察在古植物系统学研究中的价值。
获取更多 Neoscan 高分辨显微CT的产品详情和应用案例,欢迎联系我们!咨询热线:400 857 8882
往期推荐 ●●
// 1
// 2
// 3
// 4

如果您想要了解更多产品信息,请填写以下信息下载产品手册, 我们收到您的信息后将第一时间回复您。