2023 中国(合肥)硅基负极材料技术大会将于 8 月15 日-17 日在合肥盛大召开。本次会议特邀科研院所与产业技术从业者观点碰撞与交流,全方位展示中国硅基负极核心材料研究与进展,深入探讨未来硅基负极材料发展方向。
时间:2023 年 8 月 15-17 日
地点:合肥新站利港喜来登酒店
复纳科技致力于为各类材料制备、检测、性能改善等提供前沿、高效的解决方案,积累了丰富的行业应用经验与案例。欢迎各位与会者莅临【B21】展台与我们共同探讨交流。
展品一
电池材料的整体质量除了从工艺以及安全方面着手外,从材料性能本身出发进行改性,提升电池的性能同样重要。表面包覆则是其中最重要的改性手段之一。通过特定的功能性涂层包覆,提升电池的整体性能。而原子层沉积技术(Atomic Layer Deposition,简称 ALD )由于其出色的共形性以及自限制性,可以实现原子层级别的薄膜厚度控制,ALD 包覆后的硅基负极材料,表现出更优异的性能及使用寿命。
.png)
展品二
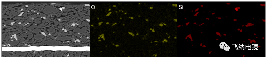
用硅做负极虽然比容量高,但却存在巨大的体积效应(完全嵌锂状态下,体积膨胀高达 300%),硅颗粒会在充放电循环后出现粉化和脱落现象,使得活性物质之间、活性物质与集流体之间失去电接触,最终导致电池容量急剧衰减。飞纳台式扫描电镜操作简单,分辨率高,成像快速且质量高,可对硅基负极材料进行不同角度的表征。
(10).png)
SiOx 复合材料制备的负极极片剖面 BSD 图(左)
能谱面扫 O 元素分布图(中)和 Si 元素分布图(右)
.png)
展品三
Technoorg Linda 离子研磨仪是一种高精度的 SEM 样品制备设备。其高精度加工、可定制性强、高效率和可重复性制备无损伤、无机械应力的样品表面的优势,使其成为锂电材料制备、薄膜加工、电池组件制备和故障分析等多个方面的重要工具。
.png)
展品四
Neoscan 台式显微CT
NEOSCAN 台式显微 CT 扫描系统对场地要求少、免维护、具备高空间分辨率,解决了传统 2D 实时成像检测图像信息叠加无法分清内部结构的问题,在不破坏电池的情况下,真实再现内部结构,在材料研究、失效分析、工艺优化中已经成为不可替代的测试手段。
(6).jpg)
展品五
DENSsolutions 原位样品杆
DENSsolutions 原位系统具备较高的空间分辨率,能够实时研究单个电极颗粒和界面的形态、体积变化、组成、原子结构、材料相和电子结构等特性。目前已有可充电电池在电化学过程中导致的容量衰退,电极退化和枝晶生长的基本机制的相关研究成果,为能源领域的研究提供了创新的解决方案。
.png)

您想了解更多信息
请关注我们公众号

如果您想要了解更多产品信息,请填写以下信息下载产品手册, 我们收到您的信息后将第一时间回复您。


